Blog

Are Childhood Cavities Inevitable?
Parents who want their children to develop healthy habits know that they need to set the example. The “Do as I say, not as I

Dead Or Just Sick?
Our teeth don’t ‘grow’ and the enamel has no living cells; sometimes, we forget that teeth are alive. We are reminded that they have active

5 Critical Oral Cancer Facts
Dental Checkups Are Not Just About Cavities At Harris Dental we urge people to come in twice a year for a dental examination and cleaning.

Is Cosmetic Dentistry For You?
Many of the patients who visit Harris Dental have questions about cosmetic dentistry. There is some reliable information online, but there are many questions that only

Let That Winning Smile Shine
Grappling with yellowed, discolored, stained, or even multi-colored teeth? Teeth whitening might be the answer. A Brighter, Whiter Smile The patient-oriented staff at Harris Dental

Sleep Dentistry At Harris Dental
Dental visits can be extremely stressful. For some, the fear and anxiety associated with a trip to the dentist prevents them from getting the care

Healthy Lifestyles For Healthy Lifesmiles
Dental health and a stunning smile depend on much more than simply brushing regularly. In today’s Harris Dental post, we present a quick refresher course

Dental Questions? We Have Answers.
Hello! If you have questions about oral health, cosmetic dentistry, preventative dentistry, children’s dental sealants, tooth implants, oral sedation, safe teeth whitening, or invisible braces,

Harris Dental Patients Have A Choice In Dental Fillings
With all the talk of multi-procedure smile makeovers involving veneers, porcelain crowns, bridges, teeth whitening, dental implants, and invisible braces, sometimes the traditional dental filling

Tooth Restoration: Dental Implants And Dental Bridges
When our patients ask us about tooth restoration, we usually tell them about fixed (or ‘traditional’) dental bridges or tooth implants. A dental bridge is an artificial tooth that replaces

Comprehensive Esthetic Dentistry At Harris Dental
If you want a movie star smile, at Harris Dental we can explain cosmetic dental options for achieving the beautiful smile you have always desired.

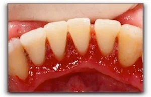
How Oral Inflammation Affects Your Health
Swollen and painful gums are symptoms of periodontal disease, an inflammatory gum disease. Swelling occurs from an auto-immune response of the body reacting to an
PATIENT TESTIMONIALS
Sarah’s Story
“It has changed my confidence in many ways. I can smile more. [Dr. Joe Harris] has changed my life in more ways than I can ever tell him.”
Mary’s Story
“Before I used to hide my smile, and now I just can’t help but smile all the time!”
Nile’s Story
“It’s really brought me a lot of confidence that I didn’t even know I was lacking.”




We would love to hear from you!
Please feel free to call us at 480-428-0040 or email us using the contact form on this page!